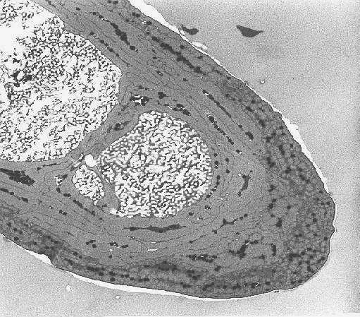
Cross section of a full grown cinnamon wingcovert featherbarb showing spherical eumelanosomes in the cortex (magn. 6900x).

more photographs


©Inte Onsman
MUTAVI Research & Advice Group