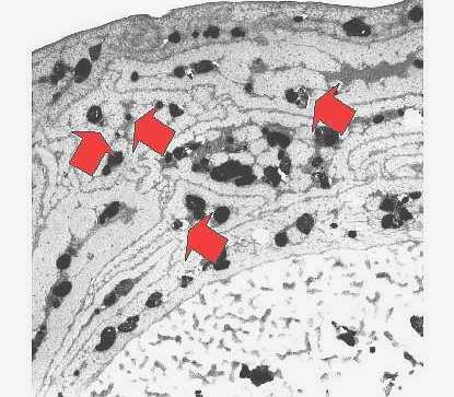
Detail of the cortex of a wingcovert feather barb of a bronze fallow showing eumelanosomes of poor quality (magn. 17.400x).

more photographs


©Inte Onsman
MUTAVI Research & Advice Group